Preventive Care for Children

Preventive Orthodontics

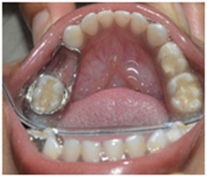
Space maintainers are intra oral appliances (spacers) which prevent teeth from tipping and moving into an extraction area. Space maintainers work by keeping the space open so that adult replacement teeth will be able to erupt into the mouth in the correct location.
Children often need space maintainers after they have had a primary (baby) tooth extracted. A space maintainer can be either cemented to one or more remaining teeth or it can be removable appliance. The space maintainer will need to stay in place until the succedaneous tooth erupts into the extraction area. Space maintainer need to be checked by a dentist twice a year and adjusted if necessary. After the extraction of primary posterior tooth, the adjacent teeth will often move into the extraction space. This unwanted movement of adjacent teeth leads to a loss of space- space that will needed in the future by the succedaneous (adult) teeth.
If extraction space is allowed to close up, the future adult tooth will not able to erupt into mouth correctly. If teeth are allowed to tip into an extraction area, the unerupted future adult tooth may end up being impacted (stuck). Space loss often leads to an adult dentition that is crowded and a child with this problem will need orthodontic treatment later on to correct it.
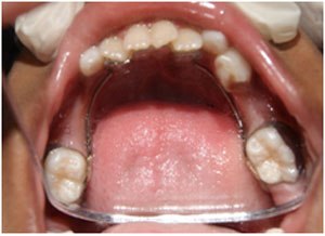
Space maintainer can also be used as preventive orthodontic appliance. In cases involving moderate crowding in the mixed dentition (6-12 yrs), a LLA (Lower Lingual Arch) space maintainer may be used to prevent unwanted shifting of permanent lower molars.

Pit & Fissure Sealant

A pit & fissure sealant is a flowable material which seals off fissures and grooves, which protects the tooth from plaque and acids. Sealant is a plastic material that is usually applied to the chewing surfaces of the back teeth, premolar and molars.

When to Apply?

When your child’s permanent teeth molar show up at 6-7 years in the mouth, protect them with sealants a clear plastic material a dentist applies to the chewing surface of molars. The grooves of the new permanent tooth are deep, encourage food entrapment and harmful bacteria. When sealants are applied, the teeth are isolated and is unavailable to harmful organisms. Parents should realize the importance of protecting their children teeth and consider applying sealants at an early age. Sealants can also be applied to milk molars to prevent tooth decay as a precautionary measure.

Why Sealants are needed?

The chewing surfaces of molars and premolars are not smooth. They have pits and fissures where the toothbrush can’t reach, so dental plaque grows causing tooth decay.

How Sealants Work?

This plastic resin bonds into the depressions and grooves (pit and fissures) of the teeth surfaces making them smooth and easier to clean by brushing. The sealants act as a barrier protecting enamel from plaque and acids.

How Often Sealant should be applied?

Sealants are easy for your dentist to apply (it takes only a few minutes to seal each tooth) and they last for several years. During regular dental visits your dentist will check the condition of the sealants and reapply them when necessary.

FLUORIDE APPLICATION

Fluoride is one of the most effective elements for perventing tooth decay. This mineral combines with tooth enamel to stregthen it against decay. It is proved that children who take fluoridated water have much less cavities when compared to children who do not take fluoridated water.
Your dentist can recommend various ways to get fluoride protection of teeth including:

  • Drinking fluoridated water at school
  • Fluoride application in dental office (Fluoride gel and Fluoride varnish)
  • Brushing with a pea sized amount of fluoride toothpaste for children above 6 years.