Clean the area around the sore tooth thoroughly. Rinse the mouth vigorously with warm saline water to remove trapped food or debris. DO NOT place aspirin on swollen area, apply a cold compress. Take paracetamol for pain and see a dentist as soon as possible
If a broken appliance can be removed easily, take it out. If it cannot, cover the sharp or protruding portion with cotton balls, guaze piece or chewing gum. If a wire is stuck in the gums, cheek or tongue, DO NOT remove it. Take the child to a dentist immediately. Loose or broken appliances which do not bother the child do not usually require emergency attention.
Apply ice to bruised areas. If there is bleeding, apply firm but gentle pressure with a clean gauze or cloth. If bleeding does not stop after 15 minutes or it cannot be controlled by simple pressure, take the child to a hospital emergency room.
Thoroughly rinse dirt from injured area with warm water. Place a cold compress over the face in the area of the injury. Locate and save any broken tooth fragments in cold milk and if not available put in saliva. Immediate dental attention is necessary.
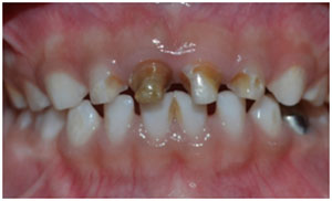
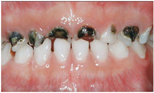
As soon as teeth appear in the mouth, decay can occur. One of the serious form of decay among children is Baby bottle tooth decay/early childhood caries. This condition can occur when an infant is allowed to nurse continuously from a bottle of milk, sugar water or fruit juice at night. If this liquid pools around the child’s teeth during sleep, the teeth will be attacked by acids for long periods of time and decay can start. When putting your child to bed, use only water in bottle as a replacement.

