Oral Habits

Thumb Sucking

Children should have ceased thumb sucking by the time the permanent front teeth are ready to erupt. Usually, children stop between the ages of 2-3 years of age. Sucking often gradually lessens during this period as children spend more of their waking hours exploring their surroundings. Peer pressure causes many school-aged children to stop. Some studies show that thumbsucking behavior is viewed negatively by classmates. Children with these kinds of habits may have more problems making friends.

Lip Trap

One of the most common habit seen in children. Lip trap causes upper front permanent teeth to back forward. As lower lip muscle (mentalis muscle) is very strong, Lip trap displaces upper incissors. Lip trap can lead to mouthbreathing and further related to constructing arches.

Treatment

Discourgage the habit as soon as parents notice this habit consult your pediatric dentist for further suggestions.

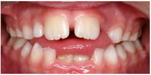
Tongue Thrust

Here the tongue is thrust in between upper & lower teeth. Causing the teeth to flare forward and awkward gap is seen, when the child smiles. Whenever the child swallows, the tongue is thrust in between upper & lower teeth. Instead of swallowing by putting the tongue on the palate, while swalllowing.

Treatment

  • Habit breaking appliance is advocated.
  • Pre Orthodontic trainer.