GUM DISEASE INFORMATION

PERIODONTAL (GUM) DISEASE IS A LEADING CAUSE OF TOOTH LOSS AND MAY BE ASSOCIATED WITH OTHER CHRONIC DISEASES, INCLUDING DIABETES AND HEART DISEASE.


TYPES OF GUM DISEASE

Untreated gingivitis can advance to periodontitis and can eventually lead to tooth loss and other health problems.


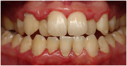
GINGIVITIS

Gingivitis is the mildest form of periodontal disease. It causes the gums to become red, swollen, and bleed easily. There is usually little or no discomfort at this stage. Gingivitis is often caused by inadequate oral hygiene. Gingivitis is reversible with professional treatment and good oral home care.


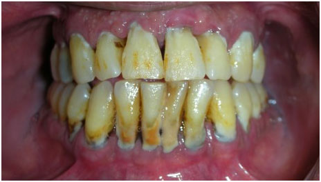
PERIODONTITIS

Untreated gingivitis can advance to periodontitis. With time, plaque can spread and grow below the gum line. Toxins produced by the bacteria in plaque irritate the gums, the tissues and the bone that supports the teeth and is broken down and destroyed. Gums separate from the teeth, forming pockets (spaces between the teeth and gums) that become infected. As the disease progresses, the pockets deepen and more gum tissue and bone are destroyed. Often, this destructive process has very mild symptoms. Eventually, teeth can become loose and have to be removed.


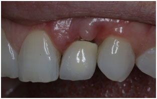
PERI- IMPLANT DISEASES

Peri-implant diseases are inflammatory conditions affecting the soft and hard gum tissues around dental implants. Similar to a natural tooth, bacteria can build up on the base of the implant, below the gum line. Over time, the bacteria irritate the gum tissue, causing it to become inflamed, damaging the tissue and if not caught early, causing the bone structure below the implant to deteriorate.
Signs of peri-implant diseases are similar to symptoms of gum disease: red or tender gums around the implants, or bleeding when brushing. And just like your natural teeth, implants require regular tooth brushing and flossing and regular check-ups from a dental professional.
In peri-implantitis, gum inflammation is found around the soft tissue and there is deterioration in the bone supporting the dental implant. Peri-implantitis usually requires surgical treatment.


GUM DISEASE RISK FACTORS

The main cause of periodontal (gum) disease is plaque, but other factors that affects the health of your gums:


AGE

Studies indicate that older people have the highest rates of periodontal disease.


SMOKING/TOBACCO USE

Tobacco use is linked with many serious illnesses such as cancer, lung disease and heart disease, as well as numerous other health problems. Tobacco users are at increased risk for periodontal disease. Studies have shown that tobacco is the most significant risk factors in the development and progression of periodontal disease.


GENETICS

Research has indicated that some people may be genetically susceptible to gum disease. Despite aggressive oral care habits, these people may be more likely to develop periodontal disease.


STRESS

Stress also is a risk factor for periodontal disease. Research demonstrates that stress can make it more difficult for the body to fight off infection, including periodontal diseases.


MEDICATIONS

Some drugs, such as oral contraceptives, anti-depressants, and certain heart medicines, can affect your oral health. Just as you notify your pharmacist and other health care providers of all medicines you are taking and any changes in your overall health, you should also inform your dental care provider.


CLENCHING OR GRINDING YOUR TEETH

Clenching or grinding your teeth can put excessive force on the supporting tissues of the teeth and could speed up the rate at which these periodontal tissues are destroyed.


OTHER SYSTEMIC DISEASES

Other systemic diseases that interfere with the body's inflammatory system may worsen the condition of the gums. These include cardiovascular disease, diabetes, and rheumatoid arthritis.


POOR NUTRITION

A diet low in important nutrients can compromise the body's immune system and make it harder for the body to fight off infection. Because periodontal disease begins as an infection, poor nutrition can worsen the condition of your gums.


GUM DISEASE SYMPTOMS

Gum disease is often silent, that is symptoms may not appear until an advanced stage of the disease.
However, warning signs of gum disease include the following:

  • Red, swollen or tender gums.
  • Bleeding while brushing, flossing, or eating hard food
  • Gums that are receding or pulling away from the teeth, causing the teeth to look longer than before
  • Loose teeth
  • Pus between your gums and teeth
  • Sores in your mouth
  • Persistent bad breath
  • A change in the fit of partial dentures

PREVENTING PERIODONTAL DISEASE

Periodontal disease, also known as gum disease, is caused when bacteria in plaque (a sticky, colorless film that forms in the mouth) builds up between the gums and teeth. When the bacteria begin to grow, the gums surrounding the tooth can become inflamed.
If left untreated, this inflammation can cause the gums and supporting bone structure to deteriorate.
Luckily, periodontal disease can be preventable. Adding these habits to your daily routine can help.
Brush your teeth. Brushing after meals helps remove food debris and plaque trapped between your teeth and gums. Don’t forget to include your tongue, bacteria loves to hide there. Floss. Flossing at least once a day helps remove food particles and plaque between teeth and along the gum line that your toothbrush can’t quite reach.
Swish with mouthwash. Using a mouthwash can help reduce plaque and can remove remaining food particles that brushing and flossing missed.
Know your risk. Age, smoking, diet and genetics can all increase your risk for periodontal disease. If you are at increased risk, be sure to talk with your dental professional.
See a periodontist. Get an annual comprehensive periodontal evaluation (CPE) from a dental professional. A CPE looks at your teeth, plaque level, gums, bite, bone structure and other risk factors for periodontal disease. Identifying symptoms of gum disease early is key to protecting your teeth and gums.