Our practice is dedicated to creating everlasting smiles. With Cosmetic surgery we redesign your smile improving your overall confidence in yourself and us too.
Do any of your teeth appear longer than the adjacent teeth?
Does your gums appear to be pulling away from the teeth?
When gum tissue recedes due to periodontal disease, it pulls away from the teeth. Periodontal plastic surgery procedures can restore some coverage and dramatically improve a person's smile.
Soft tissue grafts and other root coverage procedures cover exposed roots and restore healthy gum tissue. This will reduce further bone loss and recession, make the tooth less sensitive, protect the root from root cavities, and look more natural when you smile.
Some people have teeth that look too "short" due to the relationship between their teeth and gums. This creates a "gummy" smile. A procedure called "gum contouring" is often used to remove excess gum tissue and expose more of the crown of the tooth. In fact, your gum line can be carefully sculpted to create just the right proportion between gum tissue and tooth surface - and the result is a better looking smile.
If the gum is uneven around a tooth, gum contouring can smooth and balance the way your tooth and gum look. The procedure produces a consistent; even gum line that is aesthetically pleasing.
Gingivectomy
Gingivectomy is the surgical removal of excess gingival tissues which are seen normally in gum enlargments.
Gingivoplaty
It is the surgical recontouring of gums.


Dark Gums-




A 'Frenum' is a fold of soft tissue that connects the gums with the inner aspect of your lips. Sometimes, this tissue might pull the gums away from your teeth forcing the deposits and food debris into the gums leading to a pocket formation. It may also exaggerate the spaces between your teeth.
FRENECTOMY is a technique where this soft tissue is surgically removed to improve your periodontal health.
Frenectomy alleviates excessive forces on your gum tissues caused by fibers that attach muscles of the oral structures to the gum tissue.
You may have asked your periodontist about procedures to improve a "gummy" smile because your teeth appear short. Your teeth may actually be the proper lengths, but they're covered with too much gum tissue. To correct this, your periodontist performs a dental crown lengthening procedure.
During the dental crown lengthening procedure, excess gum and bone tissue is reshaped to expose more of the natural tooth. This can be done to one tooth, to even your gum line, or to several teeth to expose a natural, broad smile.
Your dentist or periodontist may also recommend dental crown lengthening to make a restorative or cosmetic dental procedure possible. Perhaps your tooth is decayed, broken below the gum line, or has insufficient tooth structure for a restoration, such as a crown or bridge. Crown lengthening adjusts the gum and bone level to expose more of the tooth so it can be restored.

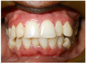
PRE OPERATIVE

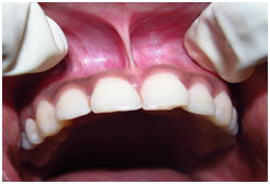
POST OPERATIVE