A woman's periodontal health may be impacted by a variety of factors.
During puberty, an increased level of female hormones, causes increased blood circulation to the gums. This may cause an increase in the gum's sensitivity and lead to a greater reaction to any irritation, including food particles and plaque. During this time, the gums may become swollen, turn red and feel tender.
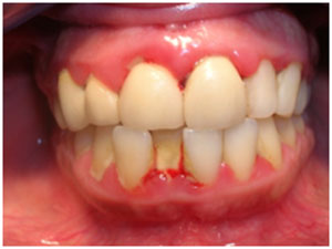
Occasionally, some women experience menstruation gingivitis. Women with this condition may experience bleeding gums, bright red and swollen gums. Menstruation gingivitis typically occurs right before a woman's period and clears up once her period has started.
Some studies have suggested the possibility of an additional risk factor – periodontal disease. Pregnant women who have periodontal disease may be more likely to have a baby that is born too early and too small (Premature Birth). However, more research is needed to confirm how periodontal disease may affect pregnancy outcomes.
All infections are cause for concern among pregnant women because they pose a risk to the health of the baby. We recommend that women considering pregnancy should have a periodontal evaluation.
Women who are menopausal or post-menopausal may experience changes in their mouths. They may notice discomfort in the mouth, including dry mouth, pain and burning sensations in the gum tissue and altered taste.
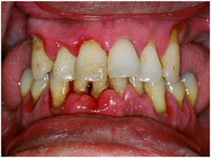
In addition, menopausal gingivostomatitis affects a small percentage of women. Gums that look dry or shiny, bleed easily and range from abnormally pale to deep red mark this condition. Most women find that estrogen supplements help to relieve these symptoms.
Chronic gingivitis is common in children. It usually causes gum tissue to swell, turn red and bleed easily.
Aggressive periodontitis can affect young people who are otherwise healthy.
Generalized aggressive periodontitis may begin around puberty and involve the entire mouth.
Four basic signs will alert you to periodontal disease in your child:
1. Bad breath Constant bad breath that does not clear up with brushing and flossing

2. Bleeding:- Bleeding gums during tooth brushing, flossing or any other time

3. Puffiness:- Swollen and bright red gums
4. Recession Gums that have receded away from the teeth, sometimes exposing the roots.
Hormonal changes related to puberty can put teens at greater risk for getting periodontal disease. Therefore, during puberty, it is very important to follow a good at-home dental hygiene regimen, including regular brushing and flossing, and regular dental care. In some cases, a dental professional may recommend periodontal therapy to help prevent damage to the tissues and bone surrounding the teeth.
Early diagnosis is important for successful treatment of periodontal diseases. Therefore, it is important that children receive a comprehensive periodontal examination as part of their routine dental visits. Be aware that if your child has an advanced form of periodontal disease, this may be an early sign of systemic disease. A general medical evaluation should be considered for children who exhibit severe periodontitis, especially if it appears resistant to therapy.
The most important preventive step against periodontal disease is to establish good oral health habits with your child. There are basic preventive steps to help your child maintain good oral health: