As the name suggests, Fixed partial dentures or FPD are tooth replacements that are fixed permanently in the mouth and cannot be removed for routine cleaning by the patient. These dentures are made by taking support from adjacent natural teeth. Unfortunately these dentures can replace only a few missing teeth. When a large number of teeth are missing, the treatment option would be either Implants or Removable partial denture or RPD.
Fixed partial dentures are of various types. They are made of either porcelain ( Ceramic) or metallic alloys. The metallic FPD's are made of either gold alloys or chrome cobalt alloys
A crown is a restoration that covers the entire tooth like a cap. It can be made of porcelain, metal or acrylic. Crowns are used to restore teeth that are either discolored or decayed or fractured
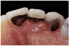
A bridge is a prosthetic appliance that replaces missing teeth deriving support from the adjacent natural teeth. The bridge is permanently cemented to the supporting teeth.


The metallic FPD's can be given an acrylic or porcelain facing over the areas that are visible to the exterior so as to make them esthetically acceptable.
Spaces left by missing teeth eventually cause the remaining teeth to rotate or shift into the empty spaces, resulting in bad bite. The imbalance caused by missing teeth can also lead to gum and temporomandibular joint (TMJ) disorders.
Fixed partial dentures are of various types. They can be made of either metal, metal fused to ceramic or full ceramic.Porcelain bonded to a metal shell is often used because it is both strong and attractive. It consists of a metal framework on which porcelain or ceramic material is added to mimic the color of natural teeth.



The maximum number of teeth that can be replaced by a bridge is three to five. Much depends upon the health of the remaining teeth and in which area the teeth are missing.
Sometimes we come across patients who have some roots remaining. These roots can be used to give support for prosthesis. These roots are first endodontically treated and then strengthened by inserting a post into their root canals. Over these posts a core is built up and this core can be used to give support for the prosthesis. These are called post and cores.
Unlike a normal bridge that is attached to teeth on both sides, a cantilever bridge is one that is attached only on one side to the remaining teeth and the other side is free or unattached. These bridges have poor prognosis in the long run.
The resin bonded fixed partial dentures are those that are bonded to adjacent teeth using acrylic resins cements. Unlike the conventional bridges these resin bonded ones need less reduction of the adjacent remaining teeth and are therefore more conservative.


The fixed partial dentures are made in such a way that they are fixed on the teeth on either side of the lost teeth that are being replaced. These teeth are reduced a little to accommodate the bridge.
Your dentist may recommend a crown to:
Bridges are commonly used to replace one or more missing teeth. They bridge the gap where the teeth are missing. Bridges are cemented to the teeth or implants surrounding the empty space. These teeth, called as abutments serve as anchors for the bridge. A replacement tooth called a pontic is connected to the crowns that cover the abutments.
Before a crown or a bridge is made, the tooth (or teeth) must be reduced in size so that the crown or bridge will fit over it properly. After reducing the tooth/teeth, your dentist will make an impression to provide an exact mold for the crown or bridge.
Using this impression, a dental lab then makes your crown or bridge, in the material your dentist specifies. A temporary crown or bridge will be put in place to cover the prepared tooth while the permanent crown or bridge is being made. When the permanent crown or bridge is ready, the temporary crown or bridge is removed, and the new crown or bridge is cemented over your prepared tooth or teeth.



Ideally, crowns and bridges last for 10 - 15 yrs. The longevity of the crown or bridge depends on the maintenance of oral hygiene, food habits etc., and regular checkups and professional care once in 6 months