Complete Denture is a removable replacement of missing teeth and adjacent tissues to maintain function health and esthetics of the tissues. It is made of acrylic resin (plastic), sometimes in combination with metal.
Replacing missing teeth has substantial benefits for your oral and general health and your appearance. A complete denture, also called a full denture, replaces all the natural teeth and provides a patient enhancing self image. And by replacing missing teeth, dentures also improve a person’s ability to speak and to eat.


Complete dentures are either conventional or immediate. A conventional denture is placed after all the teeth are removed and proper healing has occurred, whereas an immediate denture is placed as soon as the teeth are removed.










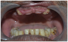
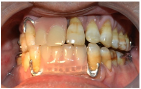
A person who has lost most orall of his teeth needs a denture while a person who has some natural teeth remaining needs a partial denture. A denture improves chewing ability, speech and provides support for facial muscles.


Teeth may be lost due to a number of causes. The two main reasons for loss of teeth are :


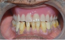
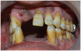
Loss of teeth affects chewing of food and esthetics of the person by altering the lip and cheek appearance. Loss of teeth is invariably accompanied by bone shrinkage over a period of time gradually as depicted in the pictures given below.
It is advisable to wait for at least 6 - 8 weeks after the extraction of teeth before the dentist can initiate the process of denture construction. This gives sufficient time for the extraction wound to heal and for the underlying bone to remodel.
New dentures may be uncomfortable for a few weeks till you become accustomed to them. The dentures may feel loose while the muscles of your cheek and tongue learn to keep them in place. It is not unusual to experience minor irritation or soreness. You may find that saliva flow temporarily increases. As your mouth becomes accustomed to the dentures, the above mentioned problems should diminish.
Dentures can be made to closely resemble your natural teeth so that little change in appearance will be noticeable and it also improves the look of your smile.
Initially, eating will take a little practice. A patient should start with a soft diet made into small pieces, which can be chewed slowly on both sides of your mouth to prevent the dentures from tipping. Gradually, the type of food can be shifted to regular diet as the dentures become comfortable in the mouth.
Dentures are made to stay in place by the intimate adaptation to the underlying tissues. It creates a vacuum seal that retains the denture in place. The thickness and quantity of saliva plays an important role in the retention of denture. The denture retention depends mainly on the available bone support which may vary from patient to patient.
Wearing a new denture is like wearing new shoes. It takes time and patience to learn how to use them. Getting used to a denture is a gradual process and it must be remembered that dentures are artificial substitutes for natural teeth and they have their own limitations.
Yes! However nicely made, very often new denture may cause areas of soreness on the tissues supporting the denture. These are usually due to a sharp projection on the denture that irritates the tissue or may be a sharp bony prominence in that area.
Like any appliance, denture too needs to be used correctly. When not in the mouth they should be kept in water. In addition the denture must be kept clean with the help of soft brush. Special cleansing solutions and tablets are also available for this purpose. A denture can break if it falls off. So care must be taken not to drop the denture.
Ideally speaking the dentures should not be worn at night because the research has shown that removing the dentures in the night allows gum tissues to rest and allows normal stimulation and cleansing by the tongue and saliva.
Ideally dentures have to be replaced every 5 years, however many factors such as medical conditions (eg. diabetes etc.) may influence the time of replacement. With the passage of time there will be a change in the shape and form of the tissues that hold the dentures. So in due course of time the dentures lose their exact fit and can cause injury and irritation to the underlying tissues. In addition the acrylic artificial teeth also wear off in due course of time and they no longer cut and chew food as effectively as before.
Even with full dentures, you still need to take care of your mouth. Every morning, brush your gums, tongue and palate with a soft-bristled brush before you place your dentures in the mouth. This removes plaque, food debris and stimulates circulation in the mouth. Selecting a balanced diet for proper nutrition is also important for maintaining a healthy mouth.
We advise you to have regular dental checkups to see if your dentures continue to fit properly and function as efficiently as before. With regular professional care, a positive attitude and persistence, you can become one of the millions of people who wear their dentures with smile and self-confidence.
It may take approximately 6 – 7 visits for fabrication of denture.