A malocclusion is a misalignment of teeth and/or incorrect relation between the teeth of the two dental arches. The upper arch is called the maxilla and the lower is called the mandible.
Malocclusion or bite problems originate from a number of causes, most of which are inherited while the rest are behavioral. Habits like thumb sucking, abnormal swallowing, tongue thrusting, lip sucking etc are some of the causes which, when left unchecked and not corrected at the initial stages can cause teeth and jaws (in severe cases) to be abnormally formed or misrelated with each other.
Does your smile affect your self-esteem? Do you wish that you could confidently open your mouth in front of people and smile? Does your mouth smell bad because of your irregular teeth? Do you wish you could chew and swallow properly?
If your answers to any of these are yes then you probably need treatment to correct your malocclusion. Take a look at the photographs given below to decide how your smile looks.


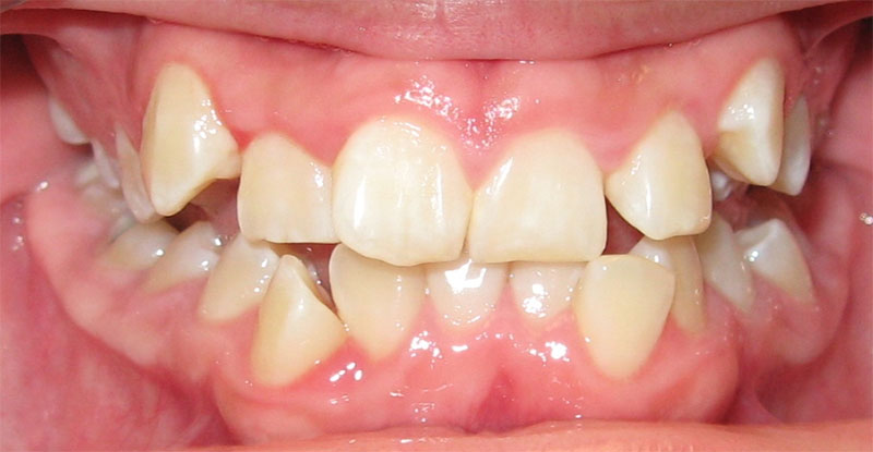
Apart from giving a bad appearance crowded teeth are more difficult to keep clean. Crowding of teeth is one of the most common orthodontic problems. Crowding of teeth occurs when the bone surrounding the teeth is smaller compared to the teeth size. Crowded or overlapped teeth look weird, cause oral hygiene problems leading to dental cavities and gum inflammation and may lead to abnormal wear of teeth due to faulty contacts of upper and lower teeth. Unattended crowded dentition can lead to multiple teeth loss in future and painful internal injuries to jaw joints.
Crowded teeth are easily treated by Orthodontic treatment with braces.
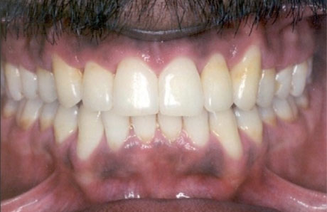
Protruded teeth or buck teeth is another common orthodontic problem. It may be genetic or acquired. Teeth jutt out due to lack of space in the jaws to accommodate them or a persistant thumb / finger sucking habit has pulled them forward or a large / forwardly placed tongue continuously pushed the teeth out. Protruded teeth not only look ugly but also cause difficulty in normal mouth closure. The mouth remains open and lip musculature becomes lax. Mouth breathing causes dryness of mouth, gum enlargement, bad mouth odor etc. This problem can easily be treated with braces. If done at the right age, the untoward effect of protruded teeth on development of face and lip musculature can be avoided. As the teeth are moved behind to their normal position, the facial profile improves and the smile as well as the face will have more pleasing appearance.
Spaces between teeth may be seen if teeth size is small and bone that surrounds the teeth is larger. Spaces may also develop due to thumb / finger sucking / tongue thrust or improper swallowing pattern. A large frenum tissue, specially between upper front teeth or an extra tooth which is unerupted may lead to unesthetic spaces between teeth.
In ideal dentition, the upper teeth overlap the lower teeth by about 1 – 2 mm. This allows normal cutting and chewing function of teeth. This ideal ovelap which is called as overbite also helps to prevent abnormal wear of teeth or jaw joint problems.
There are 2 types of overbite problems-
Means the horizontal overlap of upper teeth on the lower teeth is in excess of normal. The condition is similar to protruded teeth as mentioned above.
In open bite, the teeth do not overlap at all or there may be a space of few mm between upper and lower front or even back teeth. This interferes with normal function of teeth as they do not meet at all. (Means there is no horizontal overjet exist between upper and lower teeth) A mild to moderate open bite can easily be treated with habit breaking appliances and / or braces treatment, when diagnosed at the right time during growing age. Complex skeletal open bite problems due to growth abnormality or improper swallowing patterns are difficult to treat, specially when diagnosed at a later stage and may require surgical jaw procedures to improve / correct them.
In a normal bite the lower teeth are confined within the upper teeth. Whereas in cross bite type of malocclusion the normal scenario reverses, i.e either few or all of upper teeth are present more inside as compared to lower teeth.

Normal Occlusion/Bite

Single tooth crossbite

Front tooth crossbite

Single Side Crossbite

Total Crossbite
Uncorrected crossbites may lead to improper function and development of face. Gross jaw disproportions, asymmetry of face or an abnormal TMJ function are many a times attributed to uncorrected crossbites.
Crossbites should be corrected as soon as they are diagnosed. Sometimes orthodontic treatment may be advocated for a child of 4 years old with a developing anterior / posterior crossbite of primary (baby) teeth. Early Correction of crossbites helps to reestablish development of normal function and facial bones.