If the decay to one of your teeth is more extensive, it may be necessary to repair the damage with a filling.
There are broadly 2 techniques for dental filling-
1. Direct filling-
In this process Dentist removes the decayed and damaged part of tooth and prepares a cavity to immediately receive a filling material.
There are many different filling materials available, including Silver and Mercury containing amalgam (silver coloured), composite (tooth coloured) and glass ionomer (tooth coloured).
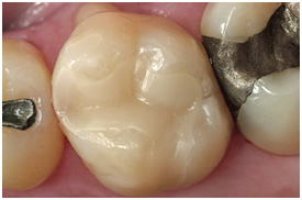
Composite Filling (Tooth Colored)


Amalgam Restorations


Amalgam Replaced with tooth colored restorations


2. Indirect Fillings-
In some cases direct fillings are not advisable or not possible due to extent of tooth decay. In such cases Dentist prepares the tooth to receive indirect filling (Inlay/Onlay/Crown). Following preparation the doctor takes the impression (Measurement) of preparation and send it to laboratory for fabrication of filling which is customized to your tooth. They specifically fill the size and shape of your cavity, and are fixed in place with dental cement. These are much stronger, long lasting as compared to above mentioned direct fillings and the also supports and strengthens the remaining tooth structure. That is why these are mainly indicated on teeth which have lost larger tooth structure due to decay.
These Indirect filling procedures are highly technique sensitive and precise procedure that is why it is advisable to get it done from a dentist who is specialized in these procedures, preferably an Endodontist.
These may be made of metal or tooth colored materials (Composite and Ceramic)

Metal Inlay cemented to the cavity

Ceramic inlay custom-made for the prepared cavity

Ceramic inlay on a dental cast manufactured & delivered from dental lab

Ceramic inlay cemented in the prepared cavity