Extraction is the painless removal of complete tooth or the tooth root with minimum damage to the adjoining structures.


Extraction is a painless procedure. This is done by injecting a local anaesthetic solution around the tooth being extracted. This leads to numbness over the injected region leading to any absence of pain sensation. The numbness may stay for an hour to 2 hours after which it gradually recedes. During this time the extraction is carried out.
For a simple extraction stitches are not necessary, unless a difficult extraction needs the gums around the teeth to be incised and reflected to get access to the teeth below.

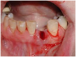
Simple extraction not requiring stitches.


Surgical removal requiring stitches
Removal of teeth in no case affects the vision of the person and is not related to whether an upper or lower tooth is being extracted.
Infection may be periapical, periodontal or periocoronal and may spread within the soft tissues, may get localized and surrounded by oedema. Later may or may not be associated with pus discharge. The organism may multiply to form an acute rapidly cellulitis causing fever, severe pain, difficulty in opening the mouth, formation of extraoral sinus with pus discharge and lymphadenitis.
Pain, infection, difficulty in mouth opening, halitosis or bad breath, dry socket. Temporary numbness of the nerve, fracture of the jaw, formation of communication between the oral cavity and maxillary sinus. These may be possible complications but are rare.